
Constant Bitter or Sour Taste? It Could Be Linked to a Serious Type of Cancer
If You Frequently Taste Bitter or Sour Flavors, Don’t Ignore This Potential Warning

If You Frequently Taste Bitter or Sour Flavors, Don’t Ignore This Potential Warning

Protect Your Heart: 6 Ways to Keep Your Arteries Clean and Healthy

Why Some People Need to Go to the Bathroom Immediately After Eating — Explained by a Doctor

Discover 10 Fresh Herbs with Amazing Health Perks

Not everyone should eat papaya — see which groups need to be careful.

This ‘Cheap’ Food Has Powerful Effects on Blood Sugar

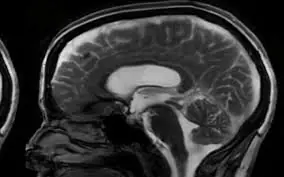
7 Possible Brain Can:cer Symptoms Every Woman Should Be Aware Of


Doctors reveal that eating okra regularly can cause...

That detail isn't innocent... and few people know it.

Although okra is nutritious, it’s not suitable for these 7 types of people

Heart Health Alert: 7 Silent Signs You Shouldn’t Ignore

8 Early Warning Signs Of Ovarian Cancer You Shouldn’t Ignore

Woman eats only corn for a year—doctor reveals shocking results

Anyone who often has signs of drooling while sleeping should pay attention

They can creep up on you!

Doctor Highlights 3 Bedtime Habits That Could Affect Stomach Health After Woman’s Can:cer Case

A type of meat that many people love and eat every day

Hidden water habit linked to liver cancer risk, doctors warn

The Surprising Ways Your Body Reacts to Daily Coffee