
After 60, Is More Exercise Always Better? Doctors Say the Opposite—3 Habits Matter More
Exercising More After 60 Isn’t Always the Answer—Doctors Stress 3 More Crucial Habits

A Couple Diagnosed with Esophageal Can.cer Due to a Common Daily Drink: Risk Increased Up to 6 Times
A shocking medical case has drawn attention after a couple was diagnosed with esophageal cancer during a routine health check—both suffering from the same disease despite different risk backgrounds.
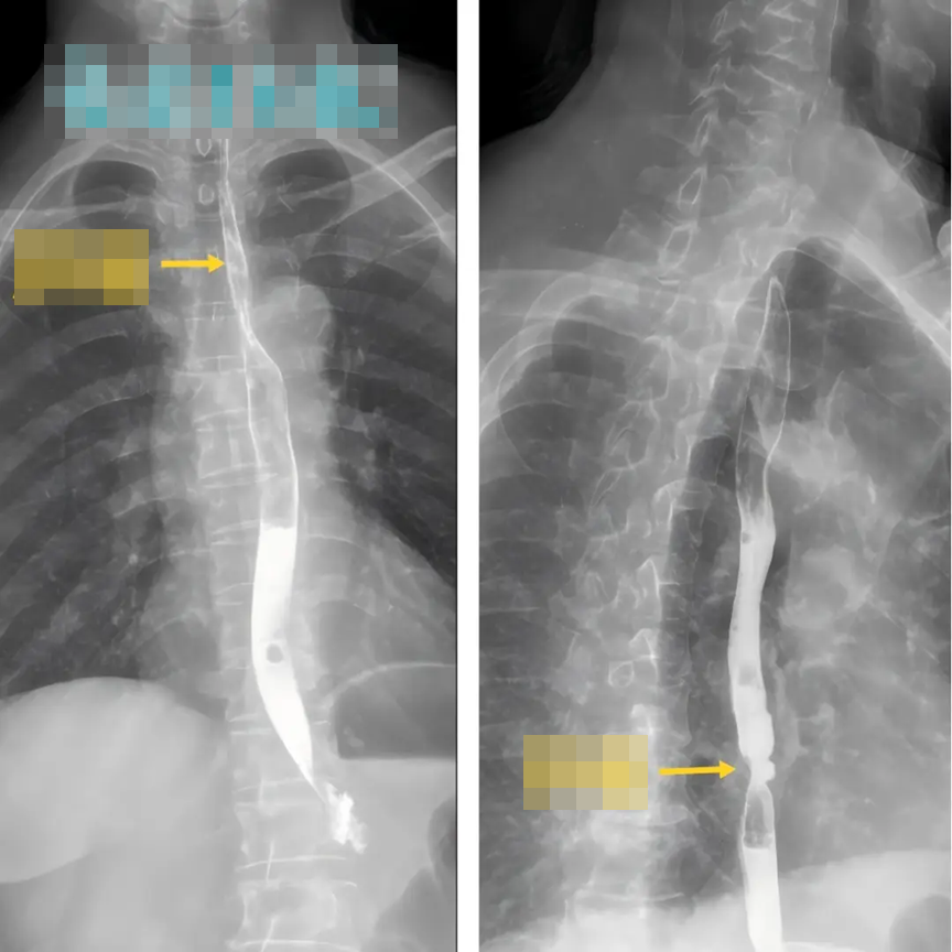
In January this year, a 56-year-old man and his wife from Quanzhou (Fujian, China) went for a regular health screening. The results left them stunned: both were diagnosed with esophageal cancer. Fortunately, the disease was detected early and had not yet spread.
The husband had a family history of the disease, but his wife did not—raising concerns about what could have caused both of them to develop cancer at the same time.
After reviewing their lifestyle, doctors identified a key factor: their long-term habit of consuming very hot drinks and foods, especially hot tea, soup, and hot pot.
While many people believe that eating or drinking hot food is good for digestion, experts warn that regularly exposing the esophagus to high temperatures can damage its lining over time.
The esophagus has a delicate inner lining that can be easily injured by heat. Continuous exposure to very hot liquids can cause repeated irritation and damage, increasing the risk of abnormal cell changes that may lead to cancer.
According to the International Agency for Research on Cancer (IARC), consuming beverages hotter than 65°C is classified as “probably carcinogenic” to humans.
Studies in regions such as South America, the Middle East, and Asia have also shown that people who frequently drink very hot beverages have a significantly higher risk of esophageal cancer.
Experts highlight that drinking very hot beverages daily may increase the risk of esophageal cancer by up to six times, especially when the habit is maintained over many years.
This finding challenges the common belief that hot drinks are harmless.
Doctors warn that early-stage esophageal cancer often has no clear symptoms. Some subtle signs include:
Difficulty swallowing
Mild chest discomfort
Reduced appetite
These symptoms are often mistaken for minor digestive or throat issues, causing delays in diagnosis.
After diagnosis, the couple underwent minimally invasive surgery. Just five days later, they were discharged, and within about a week, they were able to gradually return to a normal diet.
To reduce the risk of esophageal cancer, specialists recommend:
Avoid consuming food and drinks that are too hot
Let hot tea, soup, or porridge cool before eating
Limit frequent intake of high-temperature foods
This case highlights an important message: everyday habits—no matter how harmless they seem—can have long-term health consequences.

Exercising More After 60 Isn’t Always the Answer—Doctors Stress 3 More Crucial Habits

Eating the wrong thing in the morning? Your gut pays the price

Stop using garlic only for cooking—here’s what you’re missing

A long life story sparks interest in diet and cancer prevention.

Certain vegetables may help regulate blood sugar levels naturally.

Sleeping with a fan may affect health more than you think.

Nutritionists Reveal 5 Vegetables That Help Protect and Support Your Liver

One Glass of Cherry Juice: What It Does to Your Sleep and Inflammation

Did you know that if you eat chicken gizzards, you don’t need to take… Read More...

Health Experts Say These 5 Groups of People Should Avoid Jackfruit

This type of "poiso,nous sandal" can cause early puberty in children

A Subtle Symptom She Dismissed Led to Stage 4 Cancer: 47-Year-Old Speaks Out

Stage Four Colon Can:cer: A Woman Shares 5 Early Warning Signs She Overlooked

3 Effective Ways to Prevent Snakes From Entering Your Home

Thyroid Can.cer Warning: 7 Early Body Changes — The First 3 Are Surprisingly Common

Don’t Ignore These Symptoms — Your Kidneys Could Be at Risk

If your mouth feels dry at night, here are 8 reasons why...

If your tongue is white, this is a clear sign that you are suffering from…see more

Bulging Veins Are a Red Flag: What You Should Urgently Tell Them

Exercising More After 60 Isn’t Always the Answer—Doctors Stress 3 More Crucial Habits

Eating the wrong thing in the morning? Your gut pays the price

Stop using garlic only for cooking—here’s what you’re missing

The small round hole in the phone has a very important function

A long life story sparks interest in diet and cancer prevention.

Certain vegetables may help regulate blood sugar levels naturally.

Sleeping with socks may affect your sleep and overall health.

More couples over 50 choose separate sleep for better rest.

Simple storage tips can keep ginger fresh for up to six months.

Sleeping with a fan may affect health more than you think.

Nutritionists Reveal 5 Vegetables That Help Protect and Support Your Liver

One Glass of Cherry Juice: What It Does to Your Sleep and Inflammation

Did you know that if you eat chicken gizzards, you don’t need to take… Read More...

Health Experts Say These 5 Groups of People Should Avoid Jackfruit

This type of "poiso,nous sandal" can cause early puberty in children

A Subtle Symptom She Dismissed Led to Stage 4 Cancer: 47-Year-Old Speaks Out

Stage Four Colon Can:cer: A Woman Shares 5 Early Warning Signs She Overlooked

3 Effective Ways to Prevent Snakes From Entering Your Home

Thyroid Can.cer Warning: 7 Early Body Changes — The First 3 Are Surprisingly Common